• 首页
  • 组织模型
    • 重建三维组织模型产品
    • 培养基
    • 配套耗材
  • 技术支持
    • 安全性评估
    • 功效评价
    • 功能验证
    • 其他
  • 定制服务
    • 定制组织模型
    • 定制检测研发服务
  • 关于我们
    • 公司简介
    • 行业资讯
    • 新闻中心
    • 联系我们
끠
  • CH
  • EN

表皮模型(EpiDerm™)

您当前的位置:

首页  ꄲ  重建三维组织模型产品  ꄲ  表皮模型(EpiDerm™)
  • 产品介绍
  • 产品特色
  • 产品应用

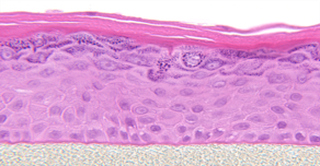
产品介绍

EpiDerm™由正常的人体表皮形成细胞培养形成的具备多层高度分化的重建人类表皮模型。该模型使用志愿者们提供的人源表皮角质形成细胞(NHEK)在特殊的无血清培养体系中培养形成,在组织结构上与人类皮肤表皮具有高度相似形。EpiDerm TM 经过多项ECVAM验证,并已被纳入OECD测试指南,适用于各类化学品、农药、药品和护肤品的体外测试。

(摘自MATTEK官网)

产品特色

01

表皮层呈现出人类表皮组织结构和细胞形态。

02

基底层细胞排列有序,有增殖能力;同时还有棘层、颗粒层、角质层。

03

气液培养模式,可实现配方或者原料的表面涂抹处理。

04

使用方便,适用于24孔等高通量检测。

05

稳定完善的质量控制数据。

体外皮肤刺激性测试(OECD-TG 439);

体外皮肤腐蚀性测试(OECD-TG 431);

体外皮肤光毒性试验(OECD-TG 498);

基因毒性试验;

经皮给样;

纳米材料毒性试验/渗透实验;

炎性反应实验;

基础科学和机理研究

产品应用

(摘自MATTEK官网)

组织模型

  • 重建三维组织模型产品
  • 培养基
  • 配套耗材
上海西指生物科技有限公司
Shanghai Cellex Biotechnology Co., Ltd

技术支持

  • 安全性评估
  • 功效评价
  • 功能验证
  • 其他

定制服务

  • 定制组织模型
  • 定制检测研发服务

关于我们

  • 公司简介
  • 行业资讯
  • 新闻中心
  • 联系我们

关注我们

 本网站由阿里云提供云计算及安全服务
本网站支持 IPv6
 本网站由阿里云提供云计算及安全服务
本网站支持 IPv6
 本网站由阿里云提供云计算及安全服务
本网站支持 IPv6
 本网站由阿里云提供云计算及安全服务
本网站支持 IPv6